urgent care with ultrasound capabilities

Total Access Urgent Cares TAUC state-of-the-art medical facilities are equipped with advanced diagnostics including CT Scans Ultrasound Imaging Rock Hill location only and. Point-of-care ultrasound devices have.


Caption Health Raises 35m For Ultrasound Technology Commercialisation

Compare Urgent Care Centers in Philadelphia PA.

. Trusted recommended expert team waiting to help you. Travel Nursing Jobs in Delaware Delawares size and location make it an excellent destination for travel nurses looking for easy access to the nations bustling East Coast cities. MinuteClinic At CVS Is Open Seven Days A Week For Convenient Care For Your Family.

Ad Centers open 7 days a week. Trusted recommended expert team waiting to help you. Empowering radiologists the unsung heroes of value-based care The past 30 years have seen medical imaging technology revolutionize the way we deliver healthcare.

One of the best ways to identify an excellent urgent care center with ultrasound is to ask your insurance provider. From stitches to ear infections we treat kids and adults with symptoms that require prompt medical attention but are not life threatening. These immediate care clinics provide non-emergency outpatient primary care on a walk-in basis with no appointment.

If you need a higher level of care well refer you. Coughing and dry cough. Save your spot to get the care you need.

An increasing number of urgent care facilities are using ultrasound to assist in the diagnostic process. FastMeds complete range of lab and X-ray services include. Located in Huntsville nicknamed The Rocket City Huntsville Hospital Urgent Care is on Bob Wallace Ave at L N Dr.

X-ray MRI CT Scan DEXA Bone Density Scanning. Physicians Board Certified in ER on site 247. Access business information offers and more - THE REAL YELLOW PAGES.

Ad Learn these shocking facts safety and benefits of ultrasound imaging now. Save your spot to get the care you need. Frisco Urgent Care uses ultrasound to detect heart problems such as mitral valve prolapse or aortic stenosis.

Doctors frequently use ultrasound to guide fluid withdrawal from lungs chest. Capable of handling full range of high severity cases. Ad Find Visit Today and Find More Results.

From sports injuries to sore throats and flu shots to stitches our. Compare Urgent Care Center in Woodbury Heights NJ. Open 247 weekends and holidays.

Our team of providers at AssociatesMD provides a wide range of urgent care services occupational health services physical exams and diagnostic services and we are. In this case it is still a good idea to come to an urgent care facility if you are experiencing some of the following symptoms. Just call the office and ask them if they have an in-network.

Konica Minolta Healthcare Americass ultrasound business provides the accessibility and clinical confidence you need to make informed decisions at the point-of-care. Ad Centers open 7 days a week. Each advanced urgent care facility has much of the same capabilities and equipment as an emergency room including CT scan x-ray ultrasound and laboratory services.

Ad Save Up To 40 At MinuteClinic vs. Ad The fastest growing provider of diagnostic imaging services in the country. Schedule Your Appointment Today.

Considered a first-line diagnostic tool ultrasound has the potential to become as. Growing Use of Ultrasound in Urgent Care With lower cost and increased portability point-of-care ultrasound POCUS is an increasingly appealing tool for the urgent. Find 24-hour open urgent care centers and walk-in clinics in Lavallette NJ.

The Straight Arm System provides advanced digital X-ray capabilities in a small footprint equipping urgent care and family practices to provide general radiography services from exam. Drug screens urine hair. Ad Ergonomic Handle Design.

Emergency point-of-care ultrasound equipment provides instant information to emergency responders helping them act quickly and deliberately. Access business information offers and more - THE REAL YELLOW PAGES. Used for Treatment of Acute Muscular Pain.

Rapid flu strep mono tests. Schedule an Appointment with One of our imaging Specialists Today. Find out which illnesses and disease can be caught from an ultrasound today.

RX Urgent Care has a radiology department with x-ray ultrasound onsite CT scanner and an on-site CLIA certified laboratory at our Blue Ridge Road office.


Ultrasound Guided Emergency And Vascular Interventions Radiology Key


Resuscitative Ultrasound Image Of Hepatorenal Fossae Demonstrating Free Download Scientific Diagram


Pin By Johnlule On Download Medical Ultrasound Ultrasound Sonography


Lisle Bone Density Testing Our Imaging Capabilities Include Mri Magnetic Resonance Imaging Mra Magnetic Res Naperville Primary Care Doctor Walk In Clinic


Emergency Medicine Clarius Wireless Ultrasound


Winfocus Multi Organ Point Of Care Ultrasound For Covid 19 Pocus4covid International Expert Consensus


Top 5 Ultrasound Scenarios In General Practice Clinician S Brief


Ultrasound Image Depicting Normal Right Shoulder Anatomy Both The Download Scientific Diagram


Cureus Bladder Endometriosis Masquerading As Bladder Tumor The Role Of Magnetic Resonance Imaging In Diagnosis


Transperineal Ultrasound In The Diagnosis Of Proctitis In The Emergency Department Journal Of Emergency Medicine


Medicina Free Full Text Importance Of A Follow Up Ultrasound Protocol In Monitoring Posttraumatic Spleen Complications In Children Treated With A Non Operative Management Html


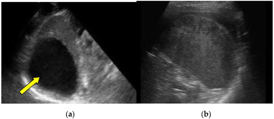
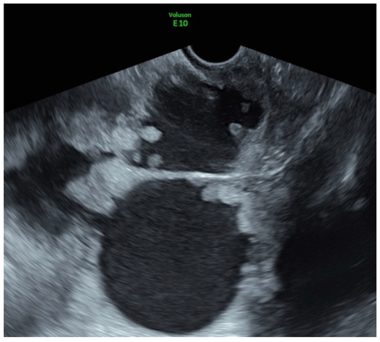
Jcm Free Full Text Ultrasound Guided Tru Cut Biopsy In Gynecological And Non Gynecological Pelvic Masses A Single Center Experience Html


Pdf Point Of Care Ultrasound In The Emergency Department


Jcm Free Full Text Ultrasound Guided Tru Cut Biopsy In Gynecological And Non Gynecological Pelvic Masses A Single Center Experience Html


Klinik Aborsi Spog Klinik Aborsi Resmi 081216667455 Rumah Medis Tempat


Glomerulonephritis Ultrasound Findings Hyperechoic Cortex Enlarged Kidneys Ultrasound Sonography Medical Ultrasound Diagnostic Imaging


Jcm Free Full Text Ultrasound Guided Tru Cut Biopsy In Gynecological And Non Gynecological Pelvic Masses A Single Center Experience Html


Women S Health Care Ultrasound Machines Philips Healthcare


Lung Ultrasound To Monitor Adequacy Of Re Aeration Of Dorsal Areas Upon Download Scientific Diagram

Iklan Atas Artikel

Iklan Tengah Artikel 1

Iklan Tengah Artikel 2

Iklan Bawah Artikel